Ρήξη Διαφράγματος
Το διάφραγμα είναι ο κύριος αναπνευστικός μυς του ανθρώπου. Το 75&-80% του όγκου του αέρα που εισπνέουμε κατά την ήρεμη αναπνοή, οφείλεται στη λειτουργία του διαφράγματος. Ανατομικά, το διάφραγμα αποτελεί το όριο ανάμεσα στην κοιλία και το θώρακα (εικόνα). Αποτελείται από δύο ανατομικά και λειτουργικά διακριτά μέρη, τα ημιδιαφράγματα, αριστερό και δεξιό.
Ο τραυματισμός του διαφράγματος συνιστά λιγότερο από το 1% του συνόλου των τραυματισμών. Εκτός από τις περιπτώσεις στις οποίες είναι καταφανέστατος, όπως στην περίπτωση πρόπτωσης ενδοκοιλιακών σπλάγχνων εντός της θωρακικής κοιλότητος, απαιτείται διατήρηση υψηλής υποψίας κατά την αξιολόγηση του τραυματία, καθώς μη αρχικά προφανείς τραυματισμοί είναι δυνατόν να διαλάθουν. Οι διαλάθοντες τραυματισμοί του διαφράγματος, ιδίως του αριστερού ημιδιαφράγματος, συχνά οδηγούν σε δεύτερο χρόνο στην προβολή κοιλιακών σπλάγχνων, δια μέσου του τραυματισμού, στον θώρακα, με αποτέλεσμα την περίσφιξη και ισχαιμία αυτών, μια κατάσταση που απαιτεί επείγουσα χειρουργική αντιμετώπιση και συνδέεται με υψηλή νοσηρότητα και θνητότητα.
Ο τραυματισμός του διαφράγματος μπορεί να συμβεί από διατιτραίνων ή και αμβλύ τραυματισμό. Περίπου τα 2/3 των τραυματισμών του διαφράγματος συμβαίνουν μετά από διατιτραίνων τραύμα από νύσσον και τέμνον όργανο (μαχαίρι) ή από πυροβόλο όπλο. Το υπόλοιπο 1/3 των κακώσεων του διαφράγματος συμβαίνουν μετά από αμβλύ τραύμα. Το 90% των αμβλέων τραυματισμών που οδηγούν σε τραυματισμό (ρήξη) του διαφράγματος είναι τροχαία ατυχήματα, ενώ το υπόλοιπο 10% είναι κυρίως πτώσεις.
Στα διατιτραίνοντα τραύματα, όταν το σημείο εισόδου του βλήματος είναι στο θώρακα και το σημείο εξόδου στην κοιλία (και το αντίστροφο), η πιθανότητα τραυματισμού του διαφράγματος είναι πολύ υψηλή. Στους τραυματισμούς από νύσσον όργανο, οποιαδήποτε πλήξη μεταξύ της τέταρτης και δωδέκατης πλευράς (ιδίως αριστερά), πρέπει να εγείρει υπόνοια τραυματισμού του διαφράγματος.
Στα αμβλέα τραύματα, όπως είναι τα τροχαία ατυχήματα, ο μηχανισμός του τραυματισμού του διαφράγματος είναι διαφορετικός. Εξαιτίας του τροχαίου, και τη συμπίεση της κοιλιακής χώρας, η ενδοκοιλιακή πίεση αυξάνεται σημαντικά και υπερβαίνει την πίεση που μπορεί να αντέξει το διάφραγμα. Το αποτέλεσμα είναι η ρήξη του διαφράγματος. Τις περισσότερες φορές η ρήξη παρατηρείται στην οπισθιοπλάγια μοίρα του αριστερού ημιδιαφράγματος, όπου φυσιολογικά υπάρχει ευένδοτο σημείο.
Στα αμβλέα τραύματα, κάκωση του διαφράγματος μπορεί να επέλθει και ως αποτέλεσμα τρώσης του από τα αιχμηρά κατεαγότα τμήματα πλευράς που έχει σπάσει.
Οι τραυματισμοί του διαφράγματος σπάνια είναι οι μόνοι τραυματισμοί σε έναν τραυματία. Συνήθως συνυπάρχουν και άλλοι τραυματισμοί οργάνων της κοιλίας όπως του ήπατος και του εντέρου. Στα αμβλέα τραύματα, η ρήξη του διαφράγματος συνοδεύεται συχνά από τραυματισμό της αορτής.
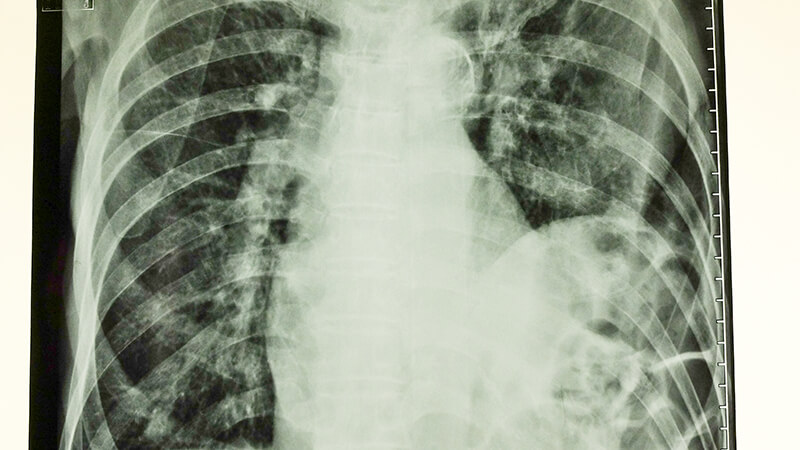
Η διάγνωση του τραυματισμού του διαφράγματος μπορεί να διαλάθει, καθώς, εκτός από τις περιπτώσεις εκείνες στις οποίες συνοδεύεται από οξεία πρόπτωση των κοιλιακών σπλάγχνων στο θώρακα, όπως φαίνεται στην ακτινογραφία της εικόνας, δε συνοδεύεται από ειδικά συμπτώματα ή σημεία, ενώ και η απεικόνιση του, παρά τη σύγχρονη απεικονιστική τεχνολογία, μπορεί να μην αποκαλύψει μικρής έκτασης κακώσεις.

Στην απλά ακτινογραφία θώρακος, το ημιδιάφραγμα (συνήθως το αριστερό, διότι το δεξιό προστατεύεται σε κάποιο βαθμό από το ήπαρ) βρίσκεται σε θέση υψηλότερη της φυσιολογικής, ενώ εντός του ημιθωρακίου μπορεί να παρατηρούνται εντερικές έλικες. Η κατάσταση αυτή βέβαια αναπαριστά μία μεγάλης έκτασης ρήξη του ημιδιαφράγματος. Σε μικρότερης έκτασης τραυματισμούς, η διάγνωση της ρήξης του διαφράγματος με τη βοήθεια της ακτινογραφίας θώρακα, είναι πολύ δύσκολη
Στην αξονική τομογραφία, με προσεκτική παρατήρηση και υψηλού βαθμού υποψία, μπορεί να εντοπιστούν και μικρής έκτασης κακώσεις του διαφράγματος.
Η μαγνητική τομογραφία, έχει αυξημένη ευαισθησία στην διάγνωση μικροκακώσεων του διαφράγματος, όμως σπάνια γίνεται σε επείγουσα βάση.
Η αντιμετώπιση της ρήξης του διαφράγματος είναι χειρουργική. Εάν η ρήξη είναι μικρή σε έκταση, μπορεί να συρραφεί. Εάν όμως είναι μεγάλης έκτασης , τότε χρειάζεται η τοποθέτηση ειδικού εμβαλώματος για να αποκατασταθεί η συνέχεια του διαφράγματος και να αποτραπεί η πρόπτωση των κοιλιακών σπλάγχνων στο θώρακα.
Από την κάκωση, το διάφραγμα μπορεί να παραλύσει. Σε αυτή την περίπτωση, ακόμη και μετά την αποκατάσταση της ρήξης του, απαιτείται πτύχωση.
Εάν η αρχική κάκωση διαλάθει, μπορεί σε δεύτερο χρόνο ο ασθενής να προσέλθει στο νοσοκομείο σε επείγουσα βάση με δύσνποια και συμπτώματα απόφραξης εντέρου. Αυτό οφείλεται στο ότι μία μικρή ρήξη που αρχικά δε διεγνώσθη, μπορεί να μεγαλώσει και μέσω αυτής να προπίψουν τα κοιλιακά σπλάγχνα (έντερο, σπλήνας, στόμαχος) στο θώρακα. Αυτό συμβαίνει διότι η θετική πίεση που επικρατεί στην κοιλία ωθεί τα κοιλιακά σπλάγχνα μέσω του σημείου της ρήξης στο θώρακα. Η κατάσταση αυτή είναι επικίνδυνη, καθώς οδηγεί σε στραγγαλισμό και ισχαιμία των σπλάγχων που προβάλλουν και απαιτεί άμεση χειρουργική επιδιόρθωση.