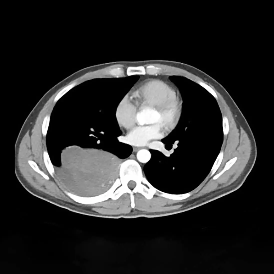
Νευρογενείς Όγκοι
Οι νευρογενείς όγκοι αποτελούν τους πιο συχνούς όγκους του οπισθίου μεσοθωρακίου. Προέρχονται από κύτταρα του νευρικού συστήματος και διακρίνονται σε Σβαννώματα, Νευροβλαστώματα και Γαγγλιονευροβλαστώματα, Γαγγλιονευρώματα, Παραγαγγλιώματα.
- Σβαννώματα (ή νευρινώματα ή νευριλειμώματα): Προέρχονται από το έλυτρο (προστατευτικό κάλυμμα) των μεσοπλευρίων νεύρων (τα νεύρα που εκφύονται από το νωτιαίο μυελό και πορεύονται κατά μήκος της κάτω επιφάνειας κάθε μίας από τις πλευρές).
- Νευροβλαστώματα και Γαγγλιονευροβλαστώματα: Πρόκειται για κακοήθεις όγκους που εμφανίζονται κατά την παιδική ηλικία και εντοπίζονται στα συμπαθητικά γάγγλια της συμπαθητικής αλύσου.
- Γαγγλιονευρώματα: Εμφανίζονται σε νεαρούς ενήλικες, προέρχονται από τα συμπαθητικά γάγγλια και είναι καλοήθεις όγκοι.
- Παραγαγγλιώματα: Προέρχονται από κύτταρα του νευροενδοκρινικού συστήματος και εντοπίζονται κατά μήκος των συμπαθητικών γαγγλίων που βρίσκονται κατά μήκος της σπονδυλικής στήλης. Πολύ συχνά τα κύτταρα των όγκων αυτών εκκρίνουν κατεχολαμίνες (αγγειοδραστικές ορμόνες που προκαλούν ταχυκαρδία και αύξηση της πίεσης).
Οι νευρογενείς όγκοι μπορεί να είναι ασυμπτωματικοί, ιδίως όταν είναι μικροί σε μέγεθος, ή να προκαλούν συμπτώματα όταν μεγαλώνουν σε μέγεθος. Τα συμπτώματα ποικίλουν ανάλογα με το μέγεθος του όγκου. Γενικά μπορεί να περιλαμβάνουν πόνο στο θώρακα ή στη ράχη, δύσπνοια και βήχα. Αν πιέζεται ο οισοφάγος τότε μπορεί να αναφέρονται διαταραχές στην κατάποση. Αν πρόκειται για παραγαγγλίωμα, μπορεί να εκδηλώνεται υπέρταση που συχνά συνοδεύεται από ταχυκαρδία, εφίδρωση και πονοκέφαλο.
Η διερεύνηση περιλαμβάνει, εκτός από την αξονική τομογραφία θώρακος με ενδοφλέβιο σκιαγραφικό και μαγνητική τομογραφία θώρακος με ενδοφλέβιο σκιαγραφικό. Η μαγνητική τομογραφία διαφοροδιαγιγνώσκει συμπαγείς μάζες από κυστικές βλάβες.
Επιπλέον, παρέχει πληροφορίες για το αν ο όγκος εισβάλλει δια μέσου του σπονδυλικού τρήματος στο νωτιαίο κανάλι (όγκοι με μορφολογία κλεψύδρας). Το τελευταίο είναι ιδιαίτερα σημαντικό, καθώς στην περίπτωση αυτή, για την αφαίρεση του όγκου απαιτείται και συνεργασία με νευροχειρουργό.
Όταν από το ιστορικό του ασθενούς τίθεται η υποψία παραγαγγλιώματος, η διερεύνηση περιλαμβάνει επίσης εξετάσεις αίματος και ούρων για την ανίχνευση προιόντων του μεταβολισμού των κατεχολαμινών.
Άλλες απεικονιστικές εξετάσεις, ειδικά για την περίπτωση των παραγαγλιωμάτων περιλαμβάνουν, ανάλογα με την περίσταση, PET CT ή/και σπινθηρογράφημα (octreoscan)
Η θεραπεία των νευρογενών όγκων είναι η χειρουργική εξαίρεση τους.
Η χειρουργική εξαίρεση των παραγαγλιωμάτων πρέπει να γίνεται μετά από φαρμακολογική προετοιμασία του ασθενούς με α' ή/και β΄– αδρενεργικούς αποκλειστές, ώστε να καταστέλλεται η αγγειοκινητική δράση των κατεχολαμινών που μπορει να εκκρίνει το παραγαγγλίωμα κατά τη διάρκεια του χειρουργείου.